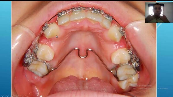
Arco de levante

MXN 480.00

El arco de levante es un componente de alambre especializado en ortodoncia que juega un papel crucial en la corrección de la mordida profunda. Al intruir los incisivos y crear espacio vertical, facilita otros movimientos dentales y contribuye a lograr una oclusión funcional y una estética facial mejorada.